Fluoroza dentara
Autor:
Daniela Anehei | Actualizat la 08-12-2010, 27119 vizualizări
Dintii permanenti se formeaza in timpul copilariei sub gingie in osul maxilar si apar dupa ce "dintii de lapte" cad. Coroanele dintilor permanenti se dezvolta in intregime cam la varsta de opt ani. Exceptie face al treilea molar (maseaua de minte), care se va forma la varsta maturitatii. Coroana este prima parte a dintelului care se observa in gura.
Consumand prea mult fluor in timpul "cresterii" dintilor, exista riscul formarii fluorozei. Aceasta afectiunea poate determina modificari de culoare (alb sau maro) sau pot aparea pete pe smaltul dintilor ori pe intreaga suparafata dentara. De asemenea, pot fi observate si mici modificari la suprafata dintilor. Fluoroza nu se dezvolta dupa ce dintii au crescut.
Fluoroza reprezinta un neajuns cosmetic si nu o boala. De cele mai multe ori, aceasta are o forma usoara, incat doar medicul dentist o poate detecta. Fluoroza este prezenta adesea la copiii mici (sub sapte ani), care iau suplimente cu fluor si traiesc in zone cu apa fluorurata. Fluoroza este prezenta si la copiii care inghit pasta de dinti.
Care sunt simptomele fluorozei?
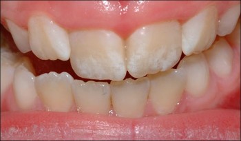
Dintii afectati cu fluoroza usoara nu au modificari sau schimbari vizibile, aceastea pot fi observate doar de specialist. Formele moderate de fluoroza se prezinta sub forme de linii albe, dungi sau pete, in timp ce fluoroza severa lasa dintii cu "gropi" si cu pete de culoare maro, gri sau negru.
In plus, smaltul dintilor pot avea o forma neobisnuita.
Cum pot preveni fluoroza?
Daca copilul este mai mic de sase ani, puneti doar putina pasta (cam de marimea unui bob de mazare) pe periuta. Supravegheati-l in timp ce se spala si apoi incurajati-l sa scuipe dupa periaj.
Evitati pasta de dinti cu arome, deoarece este posibil ca micutul sa o inghita. Nu lasati produsele cu fluor (pasta de dinti si apa de gura) la indemana copiilor.
Se recomanda a se verifica continutul apei.
Daca semnalati ca copilul are nevoie de fluor, consultati medicul stomatolog.
Ce tratamente exista impotriva fluorozei?
Fluoroza afecteaza numai aspectul estetic al dintilor si nu produce carii. De aceea, tratamentul impotriva fluorozei consta in mascarea petelor.
De obicei, fluoroza usoara nu are nevoie de tratament. Exista si cazuri in care fluoroza apare numai pe dintii din spate si nu pot fi vizibile. Atunci cand fluoroza este vizibila se pot trata prin albire sau prin alte proceduri.
Fluoroza severa implica acoperirea dintilor prin lipirea coroanelor sau a fatetelor.
Daca semnalati astfel de cazuri, adresati-va medicului stomatolog.
Consumand prea mult fluor in timpul "cresterii" dintilor, exista riscul formarii fluorozei. Aceasta afectiunea poate determina modificari de culoare (alb sau maro) sau pot aparea pete pe smaltul dintilor ori pe intreaga suparafata dentara. De asemenea, pot fi observate si mici modificari la suprafata dintilor. Fluoroza nu se dezvolta dupa ce dintii au crescut.
Fluoroza reprezinta un neajuns cosmetic si nu o boala. De cele mai multe ori, aceasta are o forma usoara, incat doar medicul dentist o poate detecta. Fluoroza este prezenta adesea la copiii mici (sub sapte ani), care iau suplimente cu fluor si traiesc in zone cu apa fluorurata. Fluoroza este prezenta si la copiii care inghit pasta de dinti.
Care sunt simptomele fluorozei?
Dintii afectati cu fluoroza usoara nu au modificari sau schimbari vizibile, aceastea pot fi observate doar de specialist. Formele moderate de fluoroza se prezinta sub forme de linii albe, dungi sau pete, in timp ce fluoroza severa lasa dintii cu "gropi" si cu pete de culoare maro, gri sau negru.
In plus, smaltul dintilor pot avea o forma neobisnuita.
Cum pot preveni fluoroza?
Daca copilul este mai mic de sase ani, puneti doar putina pasta (cam de marimea unui bob de mazare) pe periuta. Supravegheati-l in timp ce se spala si apoi incurajati-l sa scuipe dupa periaj.
Evitati pasta de dinti cu arome, deoarece este posibil ca micutul sa o inghita. Nu lasati produsele cu fluor (pasta de dinti si apa de gura) la indemana copiilor.
Se recomanda a se verifica continutul apei.
Daca semnalati ca copilul are nevoie de fluor, consultati medicul stomatolog.
Ce tratamente exista impotriva fluorozei?
Fluoroza afecteaza numai aspectul estetic al dintilor si nu produce carii. De aceea, tratamentul impotriva fluorozei consta in mascarea petelor.
De obicei, fluoroza usoara nu are nevoie de tratament. Exista si cazuri in care fluoroza apare numai pe dintii din spate si nu pot fi vizibile. Atunci cand fluoroza este vizibila se pot trata prin albire sau prin alte proceduri.
Fluoroza severa implica acoperirea dintilor prin lipirea coroanelor sau a fatetelor.
Daca semnalati astfel de cazuri, adresati-va medicului stomatolog.
Bibliografie:
1. Ce este fluoroza?
www.medic8.com
2. Ce este fluoroza?
www.wisegeek.com
3. Ce este fluoroza?
www.articlesbase.com
4. Fluoroza
www.simplestepsdental.com
Alte articole:
- Halena - 5 cauze si 5 tratamente ale respiratiei urat mirositoare
- Durerile de cap pot fi cauzate de probleme dentare?
- Dintii impactati
- Gingivita
- Periodontita
- Abcesul periodontal
- Malocluzia dentara
- Tratamentul infectiei acute parodontale - abces parodontal
- Fractura de radacina
- Sindromul articulatiei temporomandibulare
- Osteita alveolara
- Gingivita acuta ulcero-necrotica
- Pulpita
- Chisturile si tumorile odontogene
- Amelogenesis imperfecta
Satisfăcut de serviciile stomatologului tău?
Recomandă un Stomatolog
Articole recente:
Cabinete și clinici de stomatologie în:
- Alba Iulia
- Alexandria
- Arad
- Bacau
- Baia Mare
- Barlad
- Bistrita
- Botosani
- Braila
- Brasov
- Bucuresti
- Buzau
- Calarasi
- Campina
- Cluj-Napoca
- Constanta
- Craiova
- Deva
- Dr. Tr. Severin
- Focsani
- Galati
- Giurgiu
- Hunedoara
- Iasi
- Lugoj
- Medias
- Miercurea Ciuc
- Onesti
- Oradea
- Otopeni
- Pascani
- Piatra Neamt
- Pitesti
- Ploiesti
- Radauti
- Ramnicu Valcea
- Reghin
- Resita
- Roman
- Satu Mare
- Sebes
- Sfantu Gheorghe
- Sibiu
- Sighisoara
- Slatina
- Slobozia
- Suceava
- Targoviste
- Targu Jiu
- Targu Mures
- Tecuci
- Timisoara
- Tulcea
- Vaslui
- Vatra Dornei
- Voluntari
- Zalau
- [Toate localitățile...]