Amelogenesis imperfecta
Autor:
Simona Stiuriuc | Actualizat la 04-10-2012, 10092 vizualizări
Amelogenesis imperfecta reprezinta formarea anormala a smaltului dentar sau a stratului extern al dintilor. Smaltul este compus din minerale, format si reglat de proteinele din acesta. Boala se datoreaza malfunctiei proteinelor smaltului: ameloblastina, enamelina si amelogenina.
Reprezinta un grup de conditii de dezvoltare anormala, de origine genomica care afecteaza structura si aspectul clinic al smaltului la aproape toti sau toti dintii intr-o maniera mai mult sau mai putin completa si care poate fi asociata cu modificari morfologice sau biochimice oriunde in alta localizare in corp. Prevalenta variaza de la 1:700 la 1:14.000, in functie de populatiile studiate.
Smaltul poate fi hipoplazic, hipomineralizat sau ambele iar dintii afectati sunt decolorati, sensibili si predispusi la dezintegrare. Boala se gaseste unica sau alaturi de alte sindroame. Poate prezenta model de ereditate autosomal dominant, autosomal recesiv sau legat de sex si sporadic. Forma autosomal recesiva a fost raportata in familiile cu consagvinitate.
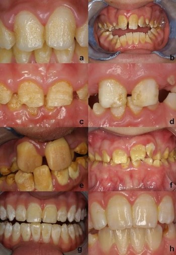
Persoanele afectate de amelogenesis imperfecta au dinti cu o culoare anormala: galbeni, maro sau gri. Dintii sunt expusi la risc ridicat de cariere si sunt hipersensibili la modificarile de temperature. Boala poate afecta orice numar de dinti.
Cauza bolii este determinata de mutatiile din genele care codeaza respectivele proteine ale smaltului. Ele sunt implicate in formarea smaltului, material tare, bogat in calciu care formeaza stratul extern protectiv al dintilor. Mutatiile in oricare dintre aceste gene determina alterarea structurii proteinelor sau prevenirea producerii de proteine. Ca rezultat smaltul dentar este anormal de subtire sau moale si are o culoare galbena sau maro. Dintii sunt slabi si usor de lezat.
Diagnosticul se bazeaza pe istoricul familial si observatia clinica. Diagnosticul genetic este doar ca metoda de cercetare. Conditia determina problem de socializare, functionare si disconfort, dar trebuie abordata cu interventie viguroasa, preventiva si de restaurare, cu tratament continuu pe perioada copilariei si in viata de adult.
Terapia suportiva este necesara datorita complicatiilor clinice si emotonale la acesti pacienti. Pacientii si-au acoperit dintii cu hirtie, guma de mestecat sau alte materiale pentru a da un aspect normal danturii. Multe persoane cu amelogenesis imperfecta au cerut inlaturarea dintilor.
Terapia in copilarie este descrisa drept o faza temporara urmata de una tranzitorie. Dentitia primara este protejata de folosirea de coroane de metal preformate pe dintii posteriori. Coroanele policarbonate sau din compozit sunt folosite pentru dintii anteriori. Eruptia dentara permanenta incepe la 6 ani si reprezinta o perioada dificila. Unele forme ale bolii se prezinta cu sensibilitate dentara sau dinti care se misca punand probleme reale igienei dentare adecvate. Acesti copii au si probleme de ocluzie.
Coroanele sunt uneori folosite pentru a compensa smaltul moale. De obicei coroanele fara otel sunt folosite la copii fiind inlocuite cu portelan cand ating virsta de adult. In cel mai rau caz dintii necesita extractie si se folosesc implanturi dentare. Se pot folosi si materiale din plastic pentru restauratie.
Reprezinta un grup de conditii de dezvoltare anormala, de origine genomica care afecteaza structura si aspectul clinic al smaltului la aproape toti sau toti dintii intr-o maniera mai mult sau mai putin completa si care poate fi asociata cu modificari morfologice sau biochimice oriunde in alta localizare in corp. Prevalenta variaza de la 1:700 la 1:14.000, in functie de populatiile studiate.
Smaltul poate fi hipoplazic, hipomineralizat sau ambele iar dintii afectati sunt decolorati, sensibili si predispusi la dezintegrare. Boala se gaseste unica sau alaturi de alte sindroame. Poate prezenta model de ereditate autosomal dominant, autosomal recesiv sau legat de sex si sporadic. Forma autosomal recesiva a fost raportata in familiile cu consagvinitate.
Persoanele afectate de amelogenesis imperfecta au dinti cu o culoare anormala: galbeni, maro sau gri. Dintii sunt expusi la risc ridicat de cariere si sunt hipersensibili la modificarile de temperature. Boala poate afecta orice numar de dinti.
Cauza bolii este determinata de mutatiile din genele care codeaza respectivele proteine ale smaltului. Ele sunt implicate in formarea smaltului, material tare, bogat in calciu care formeaza stratul extern protectiv al dintilor. Mutatiile in oricare dintre aceste gene determina alterarea structurii proteinelor sau prevenirea producerii de proteine. Ca rezultat smaltul dentar este anormal de subtire sau moale si are o culoare galbena sau maro. Dintii sunt slabi si usor de lezat.
Diagnosticul se bazeaza pe istoricul familial si observatia clinica. Diagnosticul genetic este doar ca metoda de cercetare. Conditia determina problem de socializare, functionare si disconfort, dar trebuie abordata cu interventie viguroasa, preventiva si de restaurare, cu tratament continuu pe perioada copilariei si in viata de adult.
Terapia suportiva este necesara datorita complicatiilor clinice si emotonale la acesti pacienti. Pacientii si-au acoperit dintii cu hirtie, guma de mestecat sau alte materiale pentru a da un aspect normal danturii. Multe persoane cu amelogenesis imperfecta au cerut inlaturarea dintilor.
Terapia in copilarie este descrisa drept o faza temporara urmata de una tranzitorie. Dentitia primara este protejata de folosirea de coroane de metal preformate pe dintii posteriori. Coroanele policarbonate sau din compozit sunt folosite pentru dintii anteriori. Eruptia dentara permanenta incepe la 6 ani si reprezinta o perioada dificila. Unele forme ale bolii se prezinta cu sensibilitate dentara sau dinti care se misca punand probleme reale igienei dentare adecvate. Acesti copii au si probleme de ocluzie.
Coroanele sunt uneori folosite pentru a compensa smaltul moale. De obicei coroanele fara otel sunt folosite la copii fiind inlocuite cu portelan cand ating virsta de adult. In cel mai rau caz dintii necesita extractie si se folosesc implanturi dentare. Se pot folosi si materiale din plastic pentru restauratie.
Bibliografie:
Amelogenesis imperfect.limk: http://ghr.nlm.nih.gov/condition/amelogenesis-imperfecta
Terapia in amelogenesis imperfect,link: http://www.ojrd.com/content/2/1/17
Amelogenesis imperfect,link: http://www.cigna.com/healthinfo/nord501.html
Smaltul si amelogenesis imperfect,link: http://cro.sagepub.com/content/14/6/387.full
Smaltul hipoplazic,link: http://www.scielo.br/scielo.php?script=sci_arttext&pid=S0103-64402010000200014
Tratamentul si simptomele amelogenesis imperfect,link: http://www.goldbamboo.com/topic-t9277.html
Alte articole:
- Halena - 5 cauze si 5 tratamente ale respiratiei urat mirositoare
- Durerile de cap pot fi cauzate de probleme dentare?
- Dintii impactati
- Gingivita
- Periodontita
- Abcesul periodontal
- Malocluzia dentara
- Tratamentul infectiei acute parodontale - abces parodontal
- Fluoroza dentara
- Fractura de radacina
- Sindromul articulatiei temporomandibulare
- Osteita alveolara
- Gingivita acuta ulcero-necrotica
- Pulpita
- Chisturile si tumorile odontogene
Satisfăcut de serviciile stomatologului tău?
Recomandă un Stomatolog
Articole recente:
Cabinete și clinici de stomatologie în:
- Alba Iulia
- Alexandria
- Arad
- Bacau
- Baia Mare
- Barlad
- Bistrita
- Botosani
- Braila
- Brasov
- Bucuresti
- Buzau
- Calarasi
- Campina
- Cluj-Napoca
- Constanta
- Craiova
- Deva
- Dr. Tr. Severin
- Focsani
- Galati
- Giurgiu
- Hunedoara
- Iasi
- Lugoj
- Medias
- Miercurea Ciuc
- Onesti
- Oradea
- Otopeni
- Pascani
- Piatra Neamt
- Pitesti
- Ploiesti
- Radauti
- Ramnicu Valcea
- Reghin
- Resita
- Roman
- Satu Mare
- Sebes
- Sfantu Gheorghe
- Sibiu
- Sighisoara
- Slatina
- Slobozia
- Suceava
- Targoviste
- Targu Jiu
- Targu Mures
- Tecuci
- Timisoara
- Tulcea
- Vaslui
- Vatra Dornei
- Voluntari
- Zalau
- [Toate localitățile...]