Imobilizare dinti parodontotici
Autor:
Camelia Airinei | Actualizat la 08-03-2012, 41491 vizualizări
Imobilizarea dintilor parodontotici este un mijloc terapeutic de echilibrare functionala, prelungind existenta dintilor. Aceasta procedura are ca scop consolidarea multidirectionala a dintilor mobili, intr-un bloc pluridentar capabil sa se opuna functional fortelor nocive din timpul masticatiei.
Imobilizarea este un procedeu care se realizeaza in general dupa celelalte tratamente parodontale: detartraj si planare radiculara, aplicatii locale cu substante antimicrobiene si antiinflamatorii, precum si dupa eventuale tratamente chirurgicale. Procedura nu opreste in niciun fel evolutia bolii parodontale, ci ajuta doar la pastrarea dintilor afectati.
In mod ideal sistemul de imobilizare trebuie sa cuprinda toti dintii unei arcade si trebuie sa se faca cat mai departe de axul de rotatie al dintelui, aproape de marginea incizala sau cea ocluzala. Pentru imobilizarea dintilor parodontotici cu pungi parodontale adanci si a dintilor cu procese carioase mari sau obturatii vechi, voluminoase, este recomandata extirparea pulpara. Devitalizarea mai este indicata si in cazul dintilor cu volum coronar mic si celor are au suferit traumatisme accidentale sau chirugicale, precum si in cazul in care pulpa dentara prezinta o reactivitate scazuta.
Principalele indicatii pentru imobilizarea dintilor parodontotici sunt disconfortul resimtit de catre pacient, mobilitate progresiva, migratie si durere in timpul functiei masticatorii. In cadrul sistemelor de imobilizare nu se includ dintii frontali cu o deplasare vestibulo-orala a marginii incizale mai mare de 2 mm, cei laterali cu mobilitate de gradul II - III (miscare orizontala si verticala mai mare de 1 mm), dintii cu mobilitate produsa de o trauma ocluzala si dintii cu inflamatie si exudat purulent, care nu cedeaza la tratament medicamentos si chirurgical.
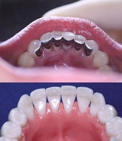
Sistemele de imobilizare au evoluat odata cu modernizarile materialelor folosite si a tehnologiei de prelucrare. Acestea trebuie sa indeplineasca anumite conditii, cum ar fi sa permita o buna igienizare, a fie concepute ca un corp de punte suspendat respectand papila interdentara si sa nu produca traume ocluzale sau efecte ortodontice. Imobilizarea dintilor parodontotici este clasificata in functie de tipul de material folosit si de durata imobilizarii.
Imobilizarea temporara a dintilor parodontotici
Imobilizarea temporara asigura conditii favorabile pentru vindecarea parodontiului, in special dupa interventii de chirurgie parodontala, si totodata ofera stabilitate pentru dintii asupra carora se realizeaza slefuiri sau detartraje. Procedura se realizeaza pentru o perioada de 2 - 6 luni.
Imobilizarea temporara externa uilizeaza ligaturi de sarma ortodontica, sine de acrilat, proteze fixe temporare sau gutiere, cu rol de atela, iar imobilizarea temporara interna utilizeaza rasini compozite cu sau fara insertii de fibra. Ligaturile cu fir de matase si cele de sarma pot fi aplicate doar pe dintii frontali.
Imobilizarea temporara ofera medicului sansa de a prevedea rezultatele unei imobilizari permanente, insa are ca dezavantaj rezistenta scazuta si creearea de spatii retentive.
Imobilizarea temporara prin sisteme extracoronare se realizeaza prin ligaturi si atele acrilice mobile si este recomandata la dintii cu mobilitate redusa, dupa interventia chirurgicala, sau cu scopul de a aprecia sansele de reusita ale unui tratament parodontal complex. Aceste sisteme au ca dezavantaje durabilitatea scazuta, rigiditatea mica si instabilitatea dimensionala.
Imobilizarea permanenta a dintilor parodontotici
Imobilizarea permanenta ajuta la stabilizarea functionala si ocluzala a dintilor parodontotici si se realizeaza prin mijloace confectionate in cabinetul stomatologic, fie intr-un laborator de tehnica dentara. Imobilizarea permanenta uneori succede imobilizarea temporara si se poate institui imediat postchirurgical la dintii cu resorbtie alvelolara redusa, fara demineralizare.
Imobilizarea permanenta se refera la sisteme de fixare intracoronare (incrustatii) si pericoronare (coroane) . Realizarea procedurii in cabinetul stomatologic implica imobilizare intracoronara cu armatura metalica, prin creearea de santuri retentive in treimea mijlocie a fetelor linguale sau palantinale si cavitati retentive de clasa a III-a, precum si utilizarea unor materiale compozite fizionomice.
Procedurile de imobilizare a dintilor parodontotici pot avea si riscuri; in special imobilizarea intracoronara poate prezenta neajunsuri estetice si implica indepartarea unei portiuni din dinte - cam la fel ca la o obturatie. Un alt dezavantaj este faptul ca sistemele de imobilizare dentara pot ingreuna igienizarea si favorizeaza aparitia cariilor interdentare.
Alternativele de tratament pentru pacientii cu dinti parodontotici (mobili) sunt mai invazive: extractia dintelui mobil si inlocuirea cu proteza mobila sau cu implant, fie imobilizarea cu coroane solidarizate pe dinti, din metale pretioase. Aceste proceduri pot fi foarte costisitoare si implanturile deseori implica interventii chirurgicale cu grefe de os.
Imobilizarea este un procedeu care se realizeaza in general dupa celelalte tratamente parodontale: detartraj si planare radiculara, aplicatii locale cu substante antimicrobiene si antiinflamatorii, precum si dupa eventuale tratamente chirurgicale. Procedura nu opreste in niciun fel evolutia bolii parodontale, ci ajuta doar la pastrarea dintilor afectati.
In mod ideal sistemul de imobilizare trebuie sa cuprinda toti dintii unei arcade si trebuie sa se faca cat mai departe de axul de rotatie al dintelui, aproape de marginea incizala sau cea ocluzala. Pentru imobilizarea dintilor parodontotici cu pungi parodontale adanci si a dintilor cu procese carioase mari sau obturatii vechi, voluminoase, este recomandata extirparea pulpara. Devitalizarea mai este indicata si in cazul dintilor cu volum coronar mic si celor are au suferit traumatisme accidentale sau chirugicale, precum si in cazul in care pulpa dentara prezinta o reactivitate scazuta.
Principalele indicatii pentru imobilizarea dintilor parodontotici sunt disconfortul resimtit de catre pacient, mobilitate progresiva, migratie si durere in timpul functiei masticatorii. In cadrul sistemelor de imobilizare nu se includ dintii frontali cu o deplasare vestibulo-orala a marginii incizale mai mare de 2 mm, cei laterali cu mobilitate de gradul II - III (miscare orizontala si verticala mai mare de 1 mm), dintii cu mobilitate produsa de o trauma ocluzala si dintii cu inflamatie si exudat purulent, care nu cedeaza la tratament medicamentos si chirurgical.
Sistemele de imobilizare au evoluat odata cu modernizarile materialelor folosite si a tehnologiei de prelucrare. Acestea trebuie sa indeplineasca anumite conditii, cum ar fi sa permita o buna igienizare, a fie concepute ca un corp de punte suspendat respectand papila interdentara si sa nu produca traume ocluzale sau efecte ortodontice. Imobilizarea dintilor parodontotici este clasificata in functie de tipul de material folosit si de durata imobilizarii.
Imobilizarea temporara a dintilor parodontotici
Imobilizarea temporara asigura conditii favorabile pentru vindecarea parodontiului, in special dupa interventii de chirurgie parodontala, si totodata ofera stabilitate pentru dintii asupra carora se realizeaza slefuiri sau detartraje. Procedura se realizeaza pentru o perioada de 2 - 6 luni.
Imobilizarea temporara externa uilizeaza ligaturi de sarma ortodontica, sine de acrilat, proteze fixe temporare sau gutiere, cu rol de atela, iar imobilizarea temporara interna utilizeaza rasini compozite cu sau fara insertii de fibra. Ligaturile cu fir de matase si cele de sarma pot fi aplicate doar pe dintii frontali.
Imobilizarea temporara ofera medicului sansa de a prevedea rezultatele unei imobilizari permanente, insa are ca dezavantaj rezistenta scazuta si creearea de spatii retentive.
Imobilizarea temporara prin sisteme extracoronare se realizeaza prin ligaturi si atele acrilice mobile si este recomandata la dintii cu mobilitate redusa, dupa interventia chirurgicala, sau cu scopul de a aprecia sansele de reusita ale unui tratament parodontal complex. Aceste sisteme au ca dezavantaje durabilitatea scazuta, rigiditatea mica si instabilitatea dimensionala.
Imobilizarea permanenta a dintilor parodontotici
Imobilizarea permanenta ajuta la stabilizarea functionala si ocluzala a dintilor parodontotici si se realizeaza prin mijloace confectionate in cabinetul stomatologic, fie intr-un laborator de tehnica dentara. Imobilizarea permanenta uneori succede imobilizarea temporara si se poate institui imediat postchirurgical la dintii cu resorbtie alvelolara redusa, fara demineralizare.
Imobilizarea permanenta se refera la sisteme de fixare intracoronare (incrustatii) si pericoronare (coroane) . Realizarea procedurii in cabinetul stomatologic implica imobilizare intracoronara cu armatura metalica, prin creearea de santuri retentive in treimea mijlocie a fetelor linguale sau palantinale si cavitati retentive de clasa a III-a, precum si utilizarea unor materiale compozite fizionomice.
Procedurile de imobilizare a dintilor parodontotici pot avea si riscuri; in special imobilizarea intracoronara poate prezenta neajunsuri estetice si implica indepartarea unei portiuni din dinte - cam la fel ca la o obturatie. Un alt dezavantaj este faptul ca sistemele de imobilizare dentara pot ingreuna igienizarea si favorizeaza aparitia cariilor interdentare.
Alternativele de tratament pentru pacientii cu dinti parodontotici (mobili) sunt mai invazive: extractia dintelui mobil si inlocuirea cu proteza mobila sau cu implant, fie imobilizarea cu coroane solidarizate pe dinti, din metale pretioase. Aceste proceduri pot fi foarte costisitoare si implanturile deseori implica interventii chirurgicale cu grefe de os.
Bibliografie:
1. Imobilizare temporara si permanenta, link: http://www.drbui.com/artsplinting.html
2. Intrebari ale pacientilor despre imobilizare, link: http://www.fibrebond.biz/patients/periodontal-splints.php
3. Imobilizarea dintilor parodontotici, link: http://www.profident.by/page.php?id=112〈=gb
4. Imobilizarea dintilor parodontotici cu rasini compozite, link: http://www.benco.com/pdf_files/cecourses/perio_splinting.pdf
5. Imobilizarea dintilor parodontotici anteriori, link: http://www.dentalcomposites.com/splinting%20periodontal.htm
6. Imobilizarea dintilor parodontotici (dinti care se misca), link: http://www.sandiegodentistrystudio.com/specialties/periodontal-splinting
7. Stabilizarea dintilor parodontotici, link: http://www.toothiq.com/dental-procedures/dental-procedure-periodontal-stabilization-splint-overview.html
8. Imobilizarea dintilor parodontotici (dinti mobili), link: http://www.eastonpadentist.com/periodontal-splinting--weak-teeth-/
9. Imobilizarea dintilor parodontotici, link: http://www.oralhealthjournal.com/issues/story.aspx?aid=1000344849&type=Print%20Archives
10. Imobilizarea dintilor imbunatateste prognosticul bolilor parodontale, link: http://www.dentalcetoday.com/courses/60/PDF/DTCE_Sept_117.pdf
11. O revizuire a tratamentului dintilor mobili, link: http://faculty.ksu.edu.sa/Alzoman/Lectures/mobile%20teeth.pdf
Alte articole:
- Tratamentul bolilor parodontale
- Tratamentul infectiei acute parodontale - abces parodontal
- Tratamentul infectiei acute parodontale - gingivita ulcerativa necrozanta acuta
- Chiuretaj gingival
- Chiuretaj subgingival
- Tratament de echilibrare ocluzala a dintilor parodontotici
- Gingivectomia
- Grefa gingivala
- Operatii cu lambou
- Amputatie radiculara, hemisectie si premolarizare
- Aplicare pasta TM
- Vaccin antistafilococic
- Tratament cu Cantastim
Satisfăcut de serviciile stomatologului tău?
Recomandă un Stomatolog
Articole recente:
Cabinete și clinici de stomatologie în:
- Alba Iulia
- Alexandria
- Arad
- Bacau
- Baia Mare
- Barlad
- Bistrita
- Botosani
- Braila
- Brasov
- Bucuresti
- Buzau
- Calarasi
- Campina
- Cluj-Napoca
- Constanta
- Craiova
- Deva
- Dr. Tr. Severin
- Focsani
- Galati
- Giurgiu
- Hunedoara
- Iasi
- Lugoj
- Medias
- Miercurea Ciuc
- Onesti
- Oradea
- Otopeni
- Pascani
- Piatra Neamt
- Pitesti
- Ploiesti
- Radauti
- Ramnicu Valcea
- Reghin
- Resita
- Roman
- Satu Mare
- Sebes
- Sfantu Gheorghe
- Sibiu
- Sighisoara
- Slatina
- Slobozia
- Suceava
- Targoviste
- Targu Jiu
- Targu Mures
- Tecuci
- Timisoara
- Tulcea
- Vaslui
- Vatra Dornei
- Voluntari
- Zalau
- [Toate localitățile...]