Grefa gingivala
Autor:
Camelia Airinei | Actualizat la 26-11-2010, 23248 vizualizări
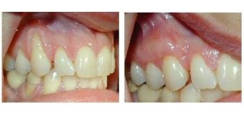
Grefa gingivala sau grefa de tesut moale este utilizata pentru a acoperi radacinile descoperite in urma retractiei gingivale. Aceasta procedura parodontala poate reduce efectele unei viitoare retractii gingivale, protejeaza radacina de carii, reduce hipersensibilitatea dentinara, precum si pierderile de masa osoasa, insa este o interventie dificila, avand in vedere natura avasculara ce limiteaza capacitatea de supravietuire a grefei.
Grefa de tesut moale se realizeaza prin diferite tehnici:
• Grefa gingivala libera
Grefa gingivala libera incepe cu anestezierea locala si dezinfectia orala. Radacina expusa este curatata si netezita, pentru a reduce convexitatea acesteia. Apoi se "recolteaza" o portiune subtire de tesut din cerul gurii si se repozitioneaza pe radacina descoperita, cu suturi. Aceasta tehnica mai este folosita si pentru a ingrosa tesutul gingival foarte subtiat. Palatul se vindeca excelent, fara cicatrice. Pentru a se vindeca mai repede se poate aplica un stent pe locul din care s-a prelevat grefa.
• Grefa de tesut conjunctiv subepitelial
Prin aceasta tehnica se utilizeaza o grefa recoltata din cerul gurii, dar de sub tesutul gingival. Aceasta procedura este utilizata in special atunci cand un singur dinte este afectat de recesiunea gingiei, avantajele fata de grefa gingivala libera fiind durerea diminuata si vindecarea mai rapida.
Exista si o alta tehnica de aplicare a grefei gingivale: intai se creeaza un "buzunar" sau un "tunel" in dreptul retractiei gingivale, avand grija ca tesutul sa ramana atasat de papilele interdentare. Apoi se introduce grefa de tesut in acest "buzunar" si se fixeaza cu suturi. La inceput gingia va arata ingrosata, insa in timp isi va recapata aspectul normal.
• Grefa pediculata sau lambou repozitionat
Tehnica grefei laterale pediculate utilizeaza tesut dintr-o zona adiacenta celei afectate. Asta presupune ca zona din care se recolteaza grefa sa fie bogata in tesut moale - situatie foarte rara in cazurile de recesiune gingivala. Procedura consta in detasarea partiala a tesutului si rotirea acestui lambou astfel incat sa acopere radacina dintelui. Riscul acestei proceduri este ca zona donatoare sa fie expusa recesiunii gingivale.
O alta varianta a acestei proceduri este lamboul repozitionat: nu se foloseste o grefa de tesut moale, ci se utilizeaza gingia in sine din locul afectat. Se sectioneaza tesutul gingival si se curata, apoi se repozitioneaza coronar sau apical. Aceasta tehnica presupune ca grosimea tesutului gingival sa permita astfel de precedee.
Prin procedura parodontala de grefa de tesut moale se realizeaza o acoperire variabila a radacinii expuse, in procent de 50 - 90%. Interventia dureaza de obicei intre 30 si 60 de minute, iar firele se scot dupa o saptamana.
Succesul procedurii este asigurat de gravitatea afectiunii si de traumatizarea post interventie a grefei. Retractia gingivala minora, cu papilele interdentare intacte au o sansa mai mare de reusita a grefei. Succesul interventiei scade odata cu cresterea procentului de pierdere a osului si de asemenea daca in timpul procesului de vindecare - prima saptamana - grefa sau lamboul este traumatizat sau miscat.
Grefa de tesut moale se realizeaza prin diferite tehnici:
• Grefa gingivala libera
Grefa gingivala libera incepe cu anestezierea locala si dezinfectia orala. Radacina expusa este curatata si netezita, pentru a reduce convexitatea acesteia. Apoi se "recolteaza" o portiune subtire de tesut din cerul gurii si se repozitioneaza pe radacina descoperita, cu suturi. Aceasta tehnica mai este folosita si pentru a ingrosa tesutul gingival foarte subtiat. Palatul se vindeca excelent, fara cicatrice. Pentru a se vindeca mai repede se poate aplica un stent pe locul din care s-a prelevat grefa.
• Grefa de tesut conjunctiv subepitelial
Prin aceasta tehnica se utilizeaza o grefa recoltata din cerul gurii, dar de sub tesutul gingival. Aceasta procedura este utilizata in special atunci cand un singur dinte este afectat de recesiunea gingiei, avantajele fata de grefa gingivala libera fiind durerea diminuata si vindecarea mai rapida.
Exista si o alta tehnica de aplicare a grefei gingivale: intai se creeaza un "buzunar" sau un "tunel" in dreptul retractiei gingivale, avand grija ca tesutul sa ramana atasat de papilele interdentare. Apoi se introduce grefa de tesut in acest "buzunar" si se fixeaza cu suturi. La inceput gingia va arata ingrosata, insa in timp isi va recapata aspectul normal.
• Grefa pediculata sau lambou repozitionat
Tehnica grefei laterale pediculate utilizeaza tesut dintr-o zona adiacenta celei afectate. Asta presupune ca zona din care se recolteaza grefa sa fie bogata in tesut moale - situatie foarte rara in cazurile de recesiune gingivala. Procedura consta in detasarea partiala a tesutului si rotirea acestui lambou astfel incat sa acopere radacina dintelui. Riscul acestei proceduri este ca zona donatoare sa fie expusa recesiunii gingivale.
O alta varianta a acestei proceduri este lamboul repozitionat: nu se foloseste o grefa de tesut moale, ci se utilizeaza gingia in sine din locul afectat. Se sectioneaza tesutul gingival si se curata, apoi se repozitioneaza coronar sau apical. Aceasta tehnica presupune ca grosimea tesutului gingival sa permita astfel de precedee.
Prin procedura parodontala de grefa de tesut moale se realizeaza o acoperire variabila a radacinii expuse, in procent de 50 - 90%. Interventia dureaza de obicei intre 30 si 60 de minute, iar firele se scot dupa o saptamana.
Succesul procedurii este asigurat de gravitatea afectiunii si de traumatizarea post interventie a grefei. Retractia gingivala minora, cu papilele interdentare intacte au o sansa mai mare de reusita a grefei. Succesul interventiei scade odata cu cresterea procentului de pierdere a osului si de asemenea daca in timpul procesului de vindecare - prima saptamana - grefa sau lamboul este traumatizat sau miscat.
Bibliografie:
1. Grefa gingivala, link: http://www.buzzle.com/articles/gingival-graft.html
2. Grefele gingivale, link: http://www.beverlyhillsperio.com/gum-grafts.html
3. Proceduri parodontale, link: http://www.perio.org/consumer/smile.htm
4. Grefa de gingie, link: http://www.livestrong.com/gingival-graft/
5. Grefa gingivala, link: http://www.scholesperio.com/surgical_procedures/gum_graft.html
6. Grefa gingivala, instructiuni portoperative, link: http://www.danrobertsdds.com/pdf/GINGIVAL%20GRAFTS.pdf
7. Augmentarea gingiei (grefa gingivala), link: http://periodontist.org/category/periodontal-procedures/gingival-augmentation/
8. Recesiune gingivala, link: http://www.gumrecession.com/thinfragile.html
9. Interventia chirurgicala cu grefa gingivala, link: http://www.netwellness.org/healthtopics/gumdisease/gumgraftsurgery.cfm
Alte articole:
- Tratamentul bolilor parodontale
- Imobilizare dinti parodontotici
- Tratamentul infectiei acute parodontale - abces parodontal
- Tratamentul infectiei acute parodontale - gingivita ulcerativa necrozanta acuta
- Chiuretaj gingival
- Chiuretaj subgingival
- Tratament de echilibrare ocluzala a dintilor parodontotici
- Gingivectomia
- Operatii cu lambou
- Amputatie radiculara, hemisectie si premolarizare
- Aplicare pasta TM
- Vaccin antistafilococic
- Tratament cu Cantastim
Satisfăcut de serviciile stomatologului tău?
Recomandă un Stomatolog
Articole recente:
Cabinete și clinici de stomatologie în:
- Alba Iulia
- Alexandria
- Arad
- Bacau
- Baia Mare
- Barlad
- Bistrita
- Botosani
- Braila
- Brasov
- Bucuresti
- Buzau
- Calarasi
- Campina
- Cluj-Napoca
- Constanta
- Craiova
- Deva
- Dr. Tr. Severin
- Focsani
- Galati
- Giurgiu
- Hunedoara
- Iasi
- Lugoj
- Medias
- Miercurea Ciuc
- Onesti
- Oradea
- Otopeni
- Pascani
- Piatra Neamt
- Pitesti
- Ploiesti
- Radauti
- Ramnicu Valcea
- Reghin
- Resita
- Roman
- Satu Mare
- Sebes
- Sfantu Gheorghe
- Sibiu
- Sighisoara
- Slatina
- Slobozia
- Suceava
- Targoviste
- Targu Jiu
- Targu Mures
- Tecuci
- Timisoara
- Tulcea
- Vaslui
- Vatra Dornei
- Voluntari
- Zalau
- [Toate localitățile...]